Микробная биопленка – главный враг здоровья полости рта. Это организованное сообщество бактерий, которое покрывает зубы, десны и ортопедические конструкции. Бактерии выделяют кислоты и токсины, что неизбежно провоцирует кариес, гингивит, пародонтит и периимплантит.
Процесс этот стремителен и безжалостен. Мягкий налет начинает минерализоваться уже через 48 часов, превращаясь в твердый камень.
Внимание! Это информационная статья, которая написана для ознакомления с проблемой, методами и современными подходами к лечению. Она подготовлена профессионалами, но назначать лечение должен врач, который обследует вас!
В домашних условиях пациент удаляет только мягкую, поверхностную часть биопленки. Против минерализованных отложений и плотной пигментированной матрицы, налет курильщика или любителя кофе, щетка и нить бессильны. Даже мощный ирригатор не способен разбить кальцинированную структуру, которая нарастает годами в поддесневых карманах.
Профессиональная чистка зубов решает эту задачу фундаментально. Врач-гигиенист использует комплекс технологий, чтобы физически разрушить структуру биопленки и твердых отложений в самых труднодоступных местах. Современная стоматология ушла от травматичного механического отскабливания к высокотехнологичным методам. Теперь эффективность сочетают с максимальным комфортом для пациента. В этом обзоре мы детально разберем эволюцию методов от базового ультразвука до инновационного швейцарского протокола GBT.
Содержание
- Ультразвуковой скейлинг – классический способ удалить твердые отложения
- Метод Air Flow и кинетическая энергия против пигментированного налета
- Важность гладкости эмали при полировке зубов
- Реминерализующая терапия для восстановления защиты эмали
- Швейцарский протокол управления биопленкой Guided Biofilm Therapy
- Сравнительный анализ классического подхода и протокола GBT
- Безопасность и противопоказания современных методов
- Стратегический выбор для здоровья улыбки
Ультразвуковой скейлинг – классический способ удалить твердые отложения
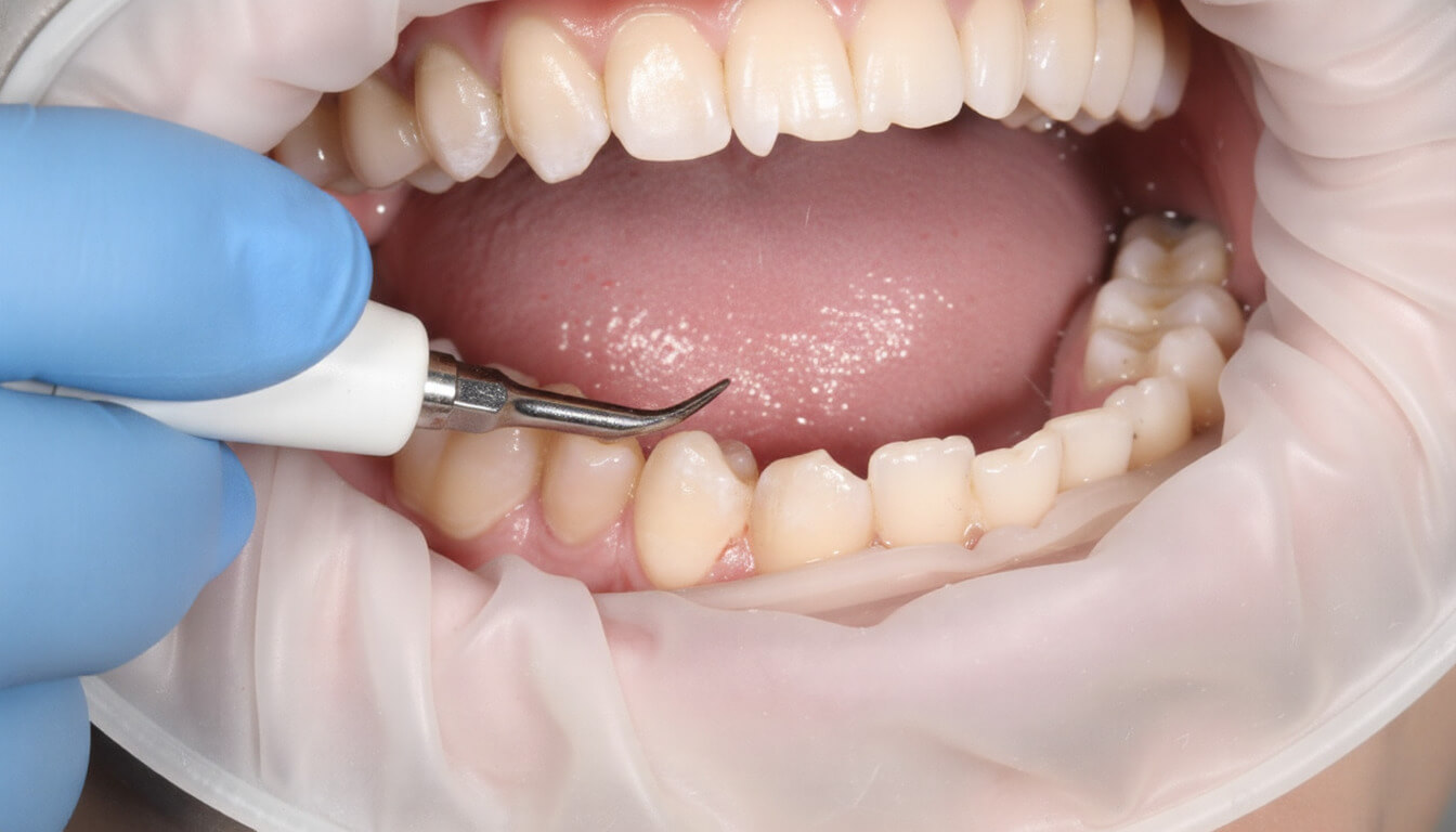
Ультразвуковой скейлинг остается золотым стандартом для борьбы с твердым зубным камнем. Это сложный физический процесс, который очищает поверхность зуба и пародонтальные карманы от минерализованных отложений. Химическим или воздушным путем убрать их невозможно.
Принцип работы и кавитация
Основу метода составляет эффект кавитации. На кончик инструмента, скейлера, подают жидкость, которая под действием высокочастотных ультразвуковых колебаний от 25 до 50 кГц вскипает. В этот момент образуются миллионы микропузырьков.
Эти пузырьки мгновенно схлопываются и высвобождают энергию. Она буквально разрывает связи внутри структуры зубного камня и отделяет его от эмали. Одновременно водяной поток охлаждает зуб, предотвращая перегрев пульпы, и вымывает осколки отложений из-под десны. Параллельно происходит мощный антисептический эффект, так как акустическая турбулентность разрушает клеточные мембраны бактерий.
Безопасность ультразвуковой чистки для зубов
Современные пьезокерамические скейлеры работают в линейной амплитуде колебаний. Кончик насадки движется строго вперед-назад. Это исключает хаотичное биение по эмали и травмирование зуба при правильном позиционировании руки врача. Специалист держит инструмент параллельно поверхности зуба, лишь скользя по ней, но не давя.
Важный нюанс: для обработки имплантов врач обязан сменить стандартную стальную насадку на специальную из композита или углеродного волокна. Металл может поцарапать шейку титанового импланта, что в будущем приведет к скоплению бактерий в этих царапинах. Карбоновая насадка работает мягче и не повреждает полированную поверхность.
Старые магнитострикционные аппараты давали эллиптические колебания. Они часто вызывали перегрев тканей или болевые ощущения у пациента, поэтому сейчас их практически не используют в передовой практике.
Зоны ответственности ультразвука
Врач применяет ультразвук преимущественно для снятия наддесневого и поддесневого камня. Это твердые конгломераты, которые механически давят на десну, нарушают кровообращение и открывают ворота для инфекции. Именно они вызывают необходимость проводить лечение пародонтита.
Для работы с мягким налетом или пигментацией ультразвук используют редко. Для этих целей существуют более щадящие аэрозольные методики, которые не создают риска микротрещин на эмали при работе по большой площади.
Метод Air Flow и кинетическая энергия против пигментированного налета
Технология Air Flow, воздушно-абразивная обработка, кардинально изменил подход к гигиене. Вместо соскабливания налета инструментом врач использует направленный поток смеси воды, сжатого воздуха и мелкодисперсного порошка.
Это позволяет очистить мельчайшие поры эмали, фиссуры и межзубные промежутки, куда не проникает ни одна щетина. Струя подается под строго определенным углом, чтобы сбивать грязь, но не травмировать десну.
Суть метода заключается не в химическом отбеливании, а в возвращении зубам их природного цвета. Происходит тотальное удаление внешних пигментов от чая, кофе, вина и табака. Частицы порошка ударяются о поверхность зуба, сбивают налет кинетической энергией, а водяной спрей тут же смывает отработанный материал.
В современных аппаратах вода в наконечнике подогревается до комфортных 35-40 градусов. Это полностью устраняет проблему чувствительности зубов на холодную воду во время процедуры, превращая чистку в подобие SPA-процедуры.
Выбор порошка для Air Flow определяет безопасность
Тип используемого порошка определяет безопасность процедуры Air Flow для эмали и мягких тканей. В зависимости от клинической ситуации врач выбирает бикарбонат натрия, карбонат кальция, глицин или эритритол.
Бикарбонат натрия или сода. Классический порошок с крупными гранулами. Эффективно удаляет массивный налет курильщика, но обладает высокой абразивностью. Стоматологи не применяют его при воспаленных деснах и на чувствительных участках, так как пациент может ощущать жжение и соленый привкус во рту.
Карбонат кальция. Имеет сферическую форму гранул, что делает его более мягким по сравнению с содой. Хорошо полирует поверхность, но все еще требует осторожности при работе в поддесневой зоне.
Глицин. Аминокислота с мелким размером частиц и низкой твердостью. Растворяется в воде, что позволяет использовать его для поддесневой обработки пародонтальных карманов глубиной до 5 мм. Это стандарт для пациентов с чувствительными зубами. Имеет сладковатый вкус.
Эритритол. Сахарный спирт, самый современный и технологичный порошок. Основа протокола GBT. Обладает минимальным размером частиц, всего 14 микро. Эритритол безопасен для эмали, дентина, мягких тканей и поверхностей имплантов. Он буквально скользит по поверхности, полируя её в процессе очистки.
Важность гладкости эмали при полировке зубов
Многие пациенты воспринимают полировку как необязательный бонус для блеска. Это глубокое заблуждение. Полировка – функциональный этап, который напрямую влияет на скорость повторного образования налета.
Представьте разницу между катком и гравийной дорогой. Бактериям гораздо сложнее прикрепиться к идеально гладкой поверхности, чем к шероховатой. На гладкой эмали биопленка просто не удерживается и смывается слюной.
После использования ультразвука на эмали могут оставаться микроскопические неровности. Если врач не заполирует их, они станут идеальным плацдармом для новой колонии микробов уже через несколько часов после выхода из клиники. Специалист использует вращающиеся щеточки, резиновые чашечки и пасты с разной степенью абразивности, последовательно переходя от крупнозернистых к финишным, создавая зеркальный эффект. При использовании порошка на основе эритритола этап полировки пастами часто сокращают, так как сам порошок уже создает отличную гладкость.
Реминерализующая терапия для восстановления защиты эмали
Финальный аккорд профессиональной гигиены – глубокое фторирование или реминерализация. После снятия биопленки и камня поры эмали открыты и максимально восприимчивы к внешнему воздействию. Это идеальный момент для насыщения тканей зуба полезными минералами.
Специалист наносит на зубы препараты с высоким содержанием фторидов, кальция и фосфатов. Эти ионы проникают в структуру кристаллической решетки эмали, гидроксиапатита.
В результате эмаль становится более плотной и устойчивой к кислотным атакам бактерий. Процедура также эффективно снимает гиперчувствительность, запечатывая дентинные канальцы, которые могли открыться после удаления зубного камня. Особенно важно проводить этот этап, если врач планирует лечение кариеса в начальной стадии. Реминерализация может обратить процесс разрушения вспять. В течение часа после процедуры пациенту рекомендуют воздержаться от еды и питья, чтобы состав успел подействовать.
Швейцарский протокол управления биопленкой Guided Biofilm Therapy
GBT ил Guided Biofilm Therapy – это смена парадигмы в профессиональной гигиене. Разработанный швейцарской компанией EMS, этот протокол пересматривает последовательность действий. Во главе угла стоит визуализация и минимальная инвазивность.
В отличие от традиционной схемы сначала ультразвук, потом чистка, GBT предлагает более логичный и щадящий подход. Сначала мы убираем мягкое, и только потом твердое. Это позволяет сохранить максимум здоровых тканей.
Этап индикации и визуализация биопленки
Врач начинает процедуру с нанесения специального красителя-индикатора. Биопленка, невидимая невооруженным глазом, окрашивается в яркий цвет, обычно фиолетовый или синий. Застарелый налет окрашивается темнее, свежий светлее.
Это меняет все: врач больше не работает вслепую. Он видит точную карту микробного поражения и направляет усилия только туда, где это необходимо, не затрагивая чистую эмаль. Пациент также получает наглядную демонстрацию своих слепых зон при домашней чистке. Это мощный мотивирующий фактор для улучшения личной гигиены. Часто именно на этом этапе гигиенист подбирает индивидуальные средства ухода, показывая пациенту в зеркало, где именно его щетка не дорабатывает.
Использование Air Flow с порошком на основе эритритола
Ключевое отличие GBT – использование порошка Air Flow PLUS на основе эритритола. Этот сверхмелкий порошок удаляет 100% биопленки и поверхностных пигментаций над и под десной.
Поскольку эритритол мягкий, он не царапает эмаль и не травмирует десну. Это делает процедуру комфортной даже для пациентов с брекетами, имплантами или высокой чувствительностью. Струя воды с пудрой ощущается пациентом, как теплая ирригация, чем как медицинская процедура.
Применение Perio Flow и технологии Piezon NO PAIN
Только после полного удаления мягкой биопленки врач берет в руки ультразвуковой скейлер, технология Piezon NO PAIN. Теперь ему нужно убрать только оставшийся твердый зубной камень.
Поскольку мягкий налет уже смыт, объем работы ультразвуком сокращается в разы. Это снижает неприятные ощущения и время воздействия на зуб. Умная электроника аппарата подстраивает мощность под нагрузку: если насадка не встречает сопротивления камня, мощность падает до нуля, исключая болевые ощущения.
Этот протокол особенно важен, если пациенту предстоит имплантация зубов. Идеальная чистота поверхностей без царапин критически важна для долгосрочной службы титановых конструкций, так как любая шероховатость на шейке импланта становится причиной скопления бактерий и периимплантита.
Еще один плюс: на абсолютно чистых зубах врач может увидеть скрытый кариес на самой ранней стадии, который раньше прятался под налетом. Это позволяет начать лечение вовремя, часто обходясь без сверления.
Сравнительный анализ классического подхода и протокола GBT
Выбор метода зависит от клинической картины, бюджета и состояния здоровья пациента. Чтобы помочь вам разобраться, мы составили детальное сравнение этих подходов по ключевым параметрам.
|
Параметр сравнения |
Классическая профгигиена (УЗ + Air Flow содой) |
Протокол GBT (Guided Biofilm Therapy) |
|
Последовательность |
Сначала ультразвук, затем Air Flow. |
Сначала индикация и Air Flow, затем точечно ультразвук. |
|
Абразивный материал |
Часто применяют бикарбонат натрия или карбонат кальция. Гранулы крупные, жесткие. |
Исключительно порошок на основе эритритола. Гранулы сверхмелкие, растворимые. |
|
Визуальный контроль |
Врач полагается на опыт и тактильные ощущения. Индикацию применяют редко. |
Обязательная тотальная индикация налета перед началом чистки. 100% контроль удаления. |
|
Болезненность |
Может вызывать дискомфорт, особенно при чувствительных шейках зубов. |
Минимальный дискомфорт благодаря технологии NO PAIN и мягкому порошку. |
|
Влияние на поверхности |
Сода может оставлять микроцарапины на композитных реставрациях и имплантатах. |
Эритритол полирует поверхности, безопасен для виниров, коронок и имплантатов. |
|
Работа с брекетами |
Затруднена очистка вокруг замков и дуг из-за риска отклейки или повреждения. |
Идеально подходит. Струя проникает под дуги, очищая все элементы без риска повреждения. |
Безопасность и противопоказания современных методов
Хотя современные методы гигиены малотравматичны, они остаются медицинскими процедурами со своими ограничениями. Врач обязан собрать анамнез перед началом манипуляций.
Для ультразвукового скейлинга строгие противопоказания включают наличие кардиостимулятора, старых неэкранированных моделей, так как ультразвуковые волны могут нарушить ритм работы прибора. Также ультразвук с осторожностью применяют в первом триместре беременности и при деминерализации эмали, чтобы не спровоцировать чувствительность.
Метод Air Flow, особенно с содой, ограничен для пациентов с бронхиальной астмой и тяжелыми заболеваниями дыхательных путей из-за образования взвеси порошка в воздухе. Также ограничением служат острые воспалительные процессы на слизистой оболочке рта. Протокол GBT с порошком глицина или эритритола имеет меньше противопоказаний и разрешен даже детям и подросткам.
Стратегический выбор для здоровья улыбки
Регулярная профессиональная гигиена – это инвестиция в биологический ресурс организма. Она окупается отсутствием сложного лечения в будущем.
Выбор конкретной методики врач основывает на клинических показаниях. Если у пациента массивные твердые отложения, без мощного ультразвука не обойтись. Если же цель поддержание здоровья десен, уход за имплантами или брекетами, то щадящий швейцарский протокол GBT станет безальтернативным решением.
Главный совет – не откладывайте визит к гигиенисту. Биопленка работает против вас 24 часа в сутки, и только профессиональные технологии способны остановить эту невидимую экспансию. Как часто нужно делать профессиональную гигиену полости рта, определяет врач, но золотой стандарт – раз в 6 месяцев.
Список использованной литературы
- Axelsson P. Prevention and Maintenance of Dental Health. Quintessence Publishing, 2021;
- Воложина Н. В., Гаспарян А. Г. Современные аспекты профилактики стоматологических заболеваний. Стоматология, 2022, 1(3), 25-31;
- Darby M. L., Walsh M. Dental Hygiene: Theory and Practice. Elsevier, 2020;
- Newman M. G., Takei H. H., Klokkevold P. R. Carranza's Clinical Periodontology. Elsevier, 2023;
- Современные методы профессиональной гигиены полости рта. Журнал клинической стоматологии, 2023, 4(12), 45-49





